白内障手術
HOME > 白内障手術
Cataract surgery
白内障手術
白内障手術について
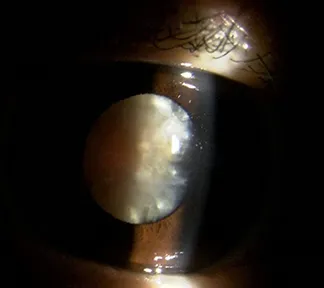
白内障は目の中の水晶体が濁って視力低下を起こす病気です(写真1)。白内障手術はその濁りを取り除き、代わりに人工のレンズを目の中に入れる手術です(写真2)。


当院では日帰りで白内障手術を行っています。点眼などの眼の麻酔をして行い、普通の方は10分程度で手術が終了します。術後は院内で少し休んでいただいた後に、帰宅していただけます。両眼の手術を行う場合は1週間程度の間隔をあけます。
また当院では、さまざまな白内障に対応いたします。下にお示しする症例は、非常に進行した白内障の手術前後の写真です。


また脱臼している白内障は、通常の白内障手術ではできないので、眼の奥の硝子体手術を行い、レンズを眼内に固定する手術を行ないます。当院では脱臼した白内障や、脱臼した眼内レンズに対する手術も行なっています。