網膜前膜(黄斑上膜)
HOME > 網膜前膜(黄斑上膜)
Epiretinal membrane
網膜前膜(黄斑上膜)
網膜前膜(黄斑上膜)とは
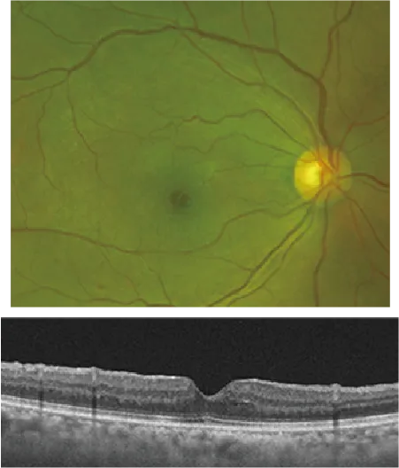
網膜前膜は、目の奥にある網膜(黄斑という部分)に膜が張る病気です(写真1)。
その膜が縮んで、網膜をゆがめるために、視力低下や、ゆがみを生じます。放置すると、視力低下が進行します。

網膜前膜の治療について
治療するには硝子体手術という眼の奥の手術を行ない、その膜を除去する必要があります(写真2)。進行すると、改善しづらくなるため、早期に手術するほうが視力予後は良いです。ときどき縦横の線や、障子などを片目ずつで見てみてください。歪みを自覚した場合は、眼底に病気がある可能性が高いので、一度眼科を受診することをお勧めします。当院では眼の奥の硝子体手術も行なっていますので、お気軽にご相談下さい。
